All Moderna articles
-
NewsFirst mRNA COVID-19/flu combination vaccine set for European approval
CHMP backs Moderna’s mCombriax vaccine for adults aged 50 and over.
-
NewsDr David Berman to join Moderna as Chief Development Officer
Meanwhile, Dr Jacqueline Miller is stepping down as the company's Chief Medical Officer.
-
NewsModerna and Recordati collaborate on rare disease mRNA therapy
License agreement set to advance mRNA-3927, a potential disease modifying therapy for the rare metabolic disorder propionic acidemia.
-
NewsModerna-Merck & Co cancer vaccine with Keytruda shows late-stage promise
New phase IIb data highlights the combination’s potential to offer improved efficiency to high-risk melanoma patients.
-
NewsCHMP recommends cancer medicines by SFL Pharmaceuticals and Serum Life Science Europe
The EMA’s human medicines committee also recommended approval of drugs by GSK, Moderna, STADA, Lupin Europe and Cytokinetics.
-
NewsNanexa collaboration to enhance Moderna’s mRNA drug delivery
Moderna’s $500 million deal with Nanexa will focus on improving long-acting injectable drug delivery, potentially improving mRNA medicines.
-
NewsModerna strengthens US mRNA manufacturing capabilities with over $140m investment
The expansion places the pharma company’s full manufacturing loop in the US under one roof.
-
NewsModerna opens UK’s first mRNA vaccine manufacturing facility
As other pharma companies reconsider their investments, Moderna’s focus insulates it from the UK’s drug pricing row.
-
NewsFDA tightens use of Pfizer, Moderna and Novavax COVID-19 vaccines
RFK Jr hits Comirnaty, Spikevax and Nuvaxovid with revised approvals for ‘high risk’ individuals.
-
NewsModerna reports record for UK clinical trials in 2023/24
The announcement follows the completed construction of Moderna’s MITC and progress in its long-term partnership with the UK government.
-
ArticleEuropean Pharmaceutical Review Issue 4 2024
European Pharmaceutical Review Issue 4 includes articles on regulation, bioproduction, environmental monitoring, packaging and drug delivery.
-
NewsmRNA therapy could provide intracellular protein replacement for rare disease
With no treatments approved for propionic acidaemia, Moderna’s LNP-encapsulated mRNA therapy could offer a new therapeutic option for patients, new data suggests.
-
NewsNext-gen Moderna COVID-19 vaccine shows promise
Phase III data shows that mRNA-1283 has a similar safety profile to Moderna's approved COVID-19 vaccines, the company states.
-
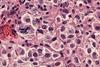
NewsPositive results for mRNA vaccine in melanoma patients
A personalised mRNA cancer vaccine in combination with MSD’s Keytruda cut the risk of cancer recurrence by almost half in melanoma patients.
-
NewsModerna reveals optimistic data for influenza-COVID-19 vaccine
Strong influenza and COVID-19 immunogenicity compared to approved standalone vaccines has been demonstrated in Moderna’s combination vaccine, interim Phase I/II trial data shows.
-
OpinionGuaranteeing resilience in vaccine manufacturing
Nicolas Chornet, Senior Vice President of Resilience Operations at Moderna provides insight on how vaccine manufacturers can secure resilience in an environment of rapid technological advancement.
-
News$2 billion mRNA-based oncology therapy market anticipated by 2029
As the pharmaceutical industry awaits the first regulatory approval of an mRNA-based oncology therapy, research predicts BioNTech will lead the market by 2029, which by then, is anticipated to value $2 billion.
-
NewsGlobal RNA therapy clinical trials market to reach $3.5 billion by 2030
Research states that the rising success rate of RNA-based COVID-19 vaccines and demand for personalised medicines is driving the global RNA therapy clinical trials market.
-
NewsAntibody response varies for Big Pharma COVID vaccines
Pfizer, Moderna and Johnson & Johnson COVID-19 vaccines produced varied neutralising antibody levels when assessed for short- and long-term response, says study.
-
NewsModerna’s mRNA vaccine manufacturing centre begins construction
Moderna achieves another milestone in its UK government partnership, with the start of construction of its mRNA vaccine manufacturing centre.


